近日,全疆首台国际领先的德国KINEVO 900机器人手术显微镜系统落户第一师医院神经外科。
神经外科手术经常需要在术中对于病变进行精准的定位,同时辨认重要的神经、血管和功能区等结构,这对手术视野和分辨率的要求非常高,术中的肿瘤定位、肿瘤边界分离、功能区脑组织保护等手术步骤是整台手术的关键难点。新引进的ZEISS KINEVO 900是德国蔡司公司的顶级手术显微镜,可与神经导航系统进行整机联动,能够快捷高效地进行术中位移和实时追踪肿瘤;该技术类似先进战斗机的平视显示功能,能够将肿瘤及周边重要脑功能结构的轮廓直接投射在手术视野中,使手术医生无需再看导航屏幕,就能对手术态势有全盘掌握,4K 3D外视技术,能摆脱传统显微镜下的手术体位的限制,让手术更加精准高效、简洁舒适;数字与光学混合动力及内窥超微观察镜系统于一体,可在显微外科手术的过程中实现机器人式的智能控制,帮助手术医师从容应对复杂手术挑战,从而极大提供手术的精准性和安全性。
截止目前,第一师医院神经外科团队已利用该新型显微镜完成了20余例神经外科各种类型的手术,下面分享4个典型的病例。
病例1
01

图1. 设备调试中
第一位受益于该顶级设备的是52岁的月热尼沙,因“头痛头晕8月,加重伴左侧肢体麻木无力1月余”来我院神经外科就诊,经过头颅核磁发现右侧额顶部功能区巨大肿瘤,由于病变位于功能区,致使支配对侧肢体活动的神经纤维束受损,出现左侧肢体麻木无力,如果病情继续加重还可能会危及生命。
入院后我院援疆专家赵明飞主任带领神经外科团队针对患者病情进行分析,入院后检查、结合患者影像学特点、查体及既往病史,初步考虑患者颅内病变为巨大功能区脑膜瘤。需及早行手术切除肿瘤,以缓解肿瘤对神经纤维束的压迫,减少对功能区脑组织损伤,积极争取使患者肢体功能最大恢复。此患者脑肿瘤位于右侧大脑功能区,开颅手术过程中若损伤功能区脑组织,将会造成永久性不可逆的神经功能缺损,出现肢体活动障碍。赵明飞主任应用神经导航联合术中黄荧光成像技术完成肿瘤的精准切除,完美保护脑功能。手术顺利结束。术后月热尼沙的头痛症状随即就得到了改善,肢体功能无影响,复查头部CT及MR提示脑肿瘤完整切除,效果满意。
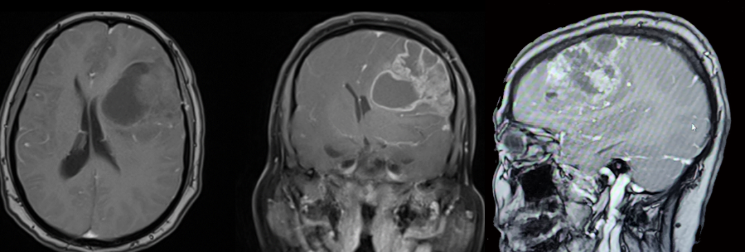
术前核磁增强检查:

图2
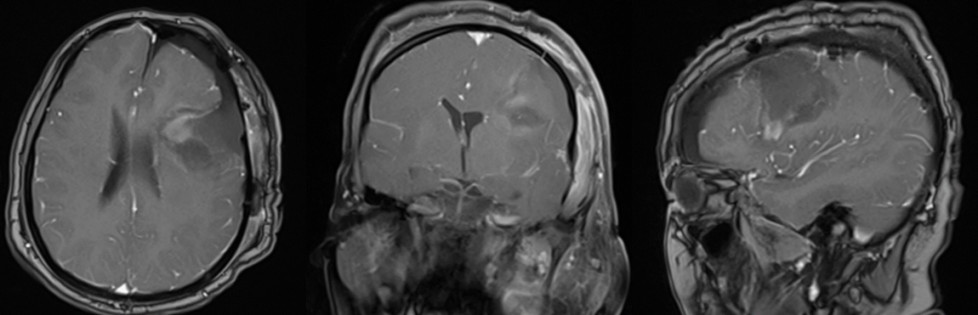
术后核磁增强检查:

术中图片:
图4. 确定肿瘤边界并根据吸引器所在位置实时自动对焦

图5. 根据导航沿着肿瘤边界切开脑膜,并用黄荧光进一步确定肿瘤边界
图6. 分离肿瘤与脑组织及引流静脉的黏连,最终完整切除肿瘤
赵明飞主任表示,新的显微镜系统联合手术导航系统能从头皮切口设计,颅骨打开,脑膜切开及肿瘤切除等各个过程实时全方位的指导,有利于临床医师精准定位肿瘤,最大程度上的减少手术创伤,有效减少各种手术并发症的发生概率,而实时对焦系统,手术位置记忆、定位锁焦等自动化功能,则将明显提高手术效率。除了脑肿瘤手术,在脑血管病手术中,其拥有的FLOW800彩色荧光分析技术,可在术中快速对血流先后到达时间、血流强度、血流速度及灌注改善等血流动力学进行分析,对神经外科各种复杂的脑血管病及肿瘤提供指导。今后该设备及技术将广泛应用于神经外科各亚专业疾病的治疗,包括颅脑肿瘤、脊柱脊髓病变、脑血管病、三叉神经痛、面肌痉挛等手术,造福更多患者。
病例2
02
患者,女性,60岁,因右上肢麻烦乏力1年,加重伴双下肢乏力4月入院。
入院查体:意识清除,对答切题,双侧瞳孔等大等圆,对光反射好,右侧肢体肌力4级,左侧肢体肌力5级,四肢肌力及肌张力正常,右侧肢体浅感觉减退,双巴氏征阴性。
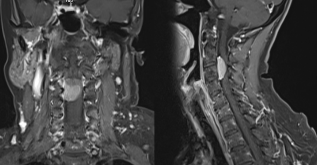
入院查脊髓MRI提示颈2-3椎管内占位,考虑为颈2-3椎管内脊膜瘤,完善相关检查后行颈椎管内肿瘤切除术。
术前磁共振图片:
术中图片:
图8. 铣刀去除颈2-3棘突及椎板
图9. 打开硬脊膜
图10. 显露肿瘤
图11. 松解齿状韧带,进一步暴露肿瘤
图12. 分块切除肿瘤
图13. 处理肿瘤基底
14. 暴露肿瘤上极
图15. 暴露肿瘤下极
图16. 肿瘤全切
图17. 硬脊膜水密缝合
术后磁共振:肿瘤完整切除
图18. 术后患者切口愈合好,右侧肢体肌力和术前相仿,左侧肢体肌力正常,目前进一步康复锻炼治疗
病例3
03
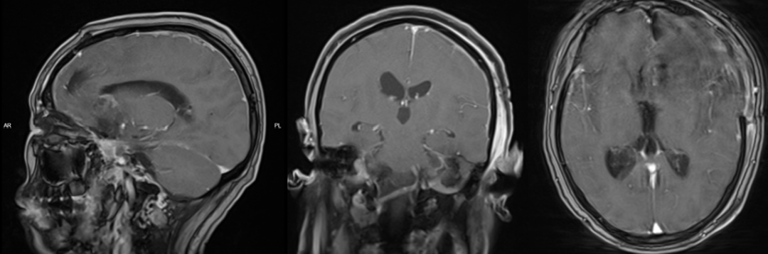
术前MRI:

术后磁共振:

术中图片:
图21. 硬膜外入路,暴露前床突
图22. 磨除前床突
图23. 打开硬脑膜,抬起额叶,暴露肿瘤,处理肿瘤基底
图24. 分离肿瘤与颈内动脉黏连
图25. 分离肿瘤与视神经黏连
图26. 分块切除肿瘤
图27. 分离肿瘤与动眼神经黏连
图28. 分离肿瘤与大脑前动脉黏连

术后患者意识清楚,四肢活动好,对答切题,左眼视力较术前相仿,左侧动眼神经轻度麻痹,进一步康复治疗中。

图30
病例4
04
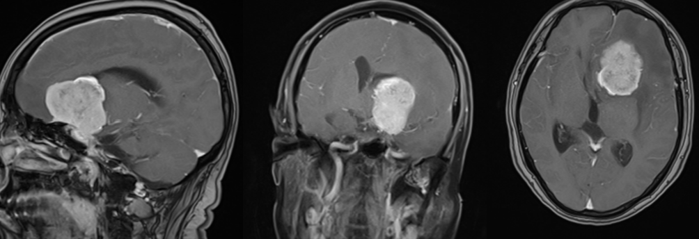
患者女性,38岁,头痛一年余,加重2月入院。
入院查体:患者意识清楚,对答切题,双侧瞳孔等大等圆,双侧瞳孔等大等圆,对光反射正常,四肢活动好,肌力及肌张力正常。头颅磁共振提示左侧额顶部占位,考虑胶质母细胞瘤。
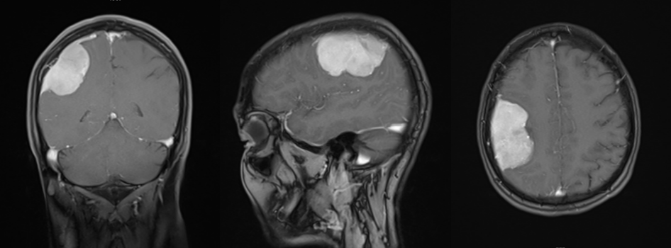
术前磁共振:
图31. 完善术前准备及检查后全麻下行开颅肿瘤切除术
术中图片:
图32. 根据导航定位,确定肿瘤位置,开颅,切开硬脑膜后暴露肿瘤
图33. 沿着肿瘤边界进行肿瘤的切除
图34. 黄荧光指导下进行肿瘤边界的精准定位和肿瘤切除
图35. 切除肿瘤至深部囊壁
图36. 切除肿瘤囊壁
图37. 进一步切除肿瘤囊壁,深部近侧脑室壁

术后磁共振:
图39. 术后患者意识清楚,肢体及言语功能活动好,暂出院以待进一步放化疗治疗
专家体会
1. “工欲善其事,必先利其器”,KINEVO 900机器人手术显微镜系统正式落户,使第一师医院神经外科朝着更加“智能、精准、微创”的方向发展。多年来,第一师医院高度重视学科的发展和先进技术在临床诊断、治疗方面的应用,积极引进国内外尖端医疗技术和医学设备,不断提升医院整体医疗技术水平,为广大患者提供更加精准、高效、优质的医疗服务。
2. 第一师医院神经外科秦智勇教授及团队术后分析表示,“机器人手术显微镜联合导航系统,有利于临床手术中实时精准定位肿瘤,最大程度上的减少手术创伤的同时,有效减少各种手术并发症的发生概率,导航结合显微镜实时联动功能、手术位置记忆及定位锁焦等功能,能明显提高手术效率。
3. 肿瘤黄荧光功能很出色,术中能够直观的判断肿瘤边界,并且很好的帮助术者查看胂瘤是否切除干净,大大提高了肿瘤的切除程度。
4. 4K3D外视技术,能摆脱传统显微镜下的手术体位的限制,让手术更加精准高效、简洁舒适;数字与光学混合动力及内窥超微观察镜系统于一体,可在显微外科手术的过程中实现机器人式的智能控制,帮助手术医师从容应对复杂手术挑战,从而极大提供手术的精准性和安全性。

专家简介
秦智勇 主任医师
-
神经外科主任医师(二级岗),兵团第一师医院神经外科主任,兵团医学会神经外科专业委员会副主任委员
-
新疆医学会神经外科专业委员会第五届常务委员会委员
-
新疆抗癌协会神经肿瘤专业委员会第一届委员会常务委员
-
兵团卫生职称系列高评委专家
-
1989年七月毕业于石河子医学院临床医学系,获医学学士学位
-
从事神经外科工作35年。熟练掌握了显微神经外科技术、微创神经外科技术、立体定向与功能性神经外科技术。颅脑损伤的综合救治,高血压脑出血、脑肿瘤的微创治疗、颅底肿瘤显微外科治疗,帕金森氏病、三叉神经痛、顽固性疼痛、癫痫病的外科治疗等方面积累了丰富的临床经验
-
主持的科研项目获一师及阿拉尔市一、二、三等科技进步奖多项。在国家级及省级刊物上公开发表科技论文二十余篇
王和功 主任医师
-
第一师医院神经外科二病区主任、主任医师
-
兵团医学会神经外科分会第五届委员会委员、新疆医师协会神经外科专家委员会第二届委员、新疆医学会第五届神经外科专业委员、第一届青年委员会委员、中国妇幼保健协会妇幼微创专业委员、小儿神经微创学组委员、世界华人神经外科协会颅脑创伤专业委员会委员
-
主持、协助各项课题12项;发表论文17篇,其中核心期刊6篇;参编著作1部;独立完成三、四级手术1000余例
-
熟练开展颅脑损伤、高血压脑出血手术;开展动脉瘤夹闭手术10余年,最早在阿克苏地区开展独立的动脉瘤介入栓塞手术;目前完成动脉瘤介入200余例;熟练开展颅内肿瘤手术;三叉神经及面肌痉挛微血管减压术
赵明飞 教授
-
浙江大学医学院附属第二医院神经外科,现任第一师医院神经外科副主任,塔里木大学兼职教授
-
擅长颅内肿瘤如脑膜瘤,胶质瘤,听神经瘤,动脉瘤,脊髓肿瘤如室管膜瘤,神经鞘瘤,脊膜瘤等的微创精准治疗,擅长脑出血,动静脉畸形,脑积水,颅脑创伤等的手术治疗
-
援疆以来,赵明飞主任已带领科室团队完成了内镜下面神经血管减压术、脊髓髓内肿瘤切除术、脊髓黏连松懈术、复杂大脑中动脉动脉瘤塑形夹闭术、脑室肿瘤切除术、听神经鞘瘤切除术,双额叶胼胝体巨大胶质瘤切除术、巨大垂体瘤切除术等多种高难度手术
-
每周二、四上午神经外科专家门诊
声明:脑医汇旗下神外资讯、神介资讯、脑医咨询、神内资讯所发表内容之知识产权为脑医汇及主办方、原作者等相关权利人所有。未经许可,禁止进行转载、摘编、复制、裁切、录制等。经许可授权使用,亦须注明来源。欢迎转发、分享。
投稿/会议发布,请联系400-888-2526转3
脑医汇App(原神外资讯/神介资讯App)“话题圈子”重磅上线,这里有各种专业问题及权威解答,点击“阅读原文”抢先体验!
点分享
点收藏
点点赞
点在看



