术者寄语
远端取栓支架保护下的球囊血管成形术(BASIS技术)既解决了远端血栓逃逸问题,同时很好解决狭窄病变,简化了操作、减少器械交换、减少了手术时间。BASIS技术解决了ICAS合并远端血栓的患者过往手术方式存在的困境,是目前解决这类疾病的极简手术方式和最优解决方案。
本期「沛嘉加奇·嘉介谈」邀请深圳市光明区人民医院朱勇教授,分享应用:BASIS技术治疗后循环急性脑梗死两例,精彩不容错过。

病例一
01 患者基本信息
患者:男性,58岁。
主诉:咳嗽、咳痰2天,头晕1天,呕吐半天。
现病史:
-
患者于2天前无明显诱因出现咳嗽、咳痰2天,咳黏痰,无发热、寒战;1天前无明显诱因出现头晕;半天前无明显诱因出现呕吐,呕吐物为胃内容物,次数约10余次。
-
遂到我院急诊就诊,完善头颅CT提示脑动脉硬化,急诊拟“脑梗死”收入院。
-
自发病来,患者精神、饮食、睡眠差,大小便正常。
既往史:有高血压、糖尿病多年,具体不详。
02 入院查体
T:36.8℃,P:101次/分,R:20次/分,BP:179/94mmHg。
专科查体:嗜睡状态,唤醒能遵嘱。双侧瞳孔等大等圆,直径约3.0mm,光反射灵敏,双眼可见水平眼震。双侧额纹对称,左侧鼻唇沟变浅,伸舌稍偏右。四肢肌力5-级,四肢肌张力基本正常,肢体感觉存在对称,双侧腱反射(+++),共济检查合作,双侧Babinski阳性,无脑膜刺激征。
NIHSS评分13分;ESSEN评分2分,低危;发病前mRS评分0分。
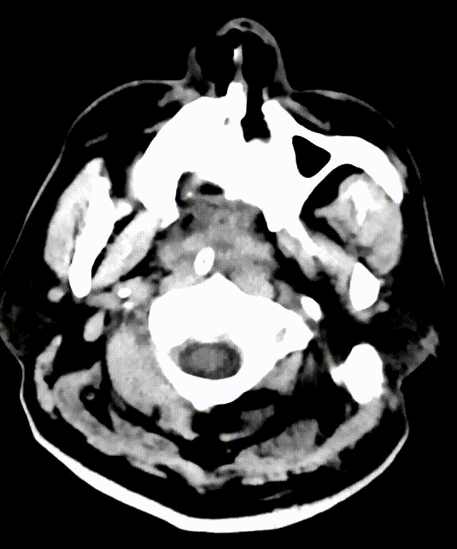
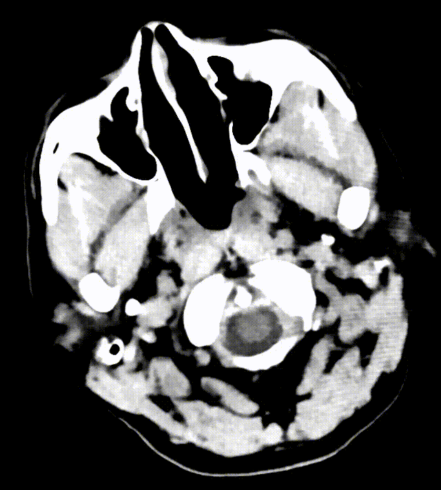
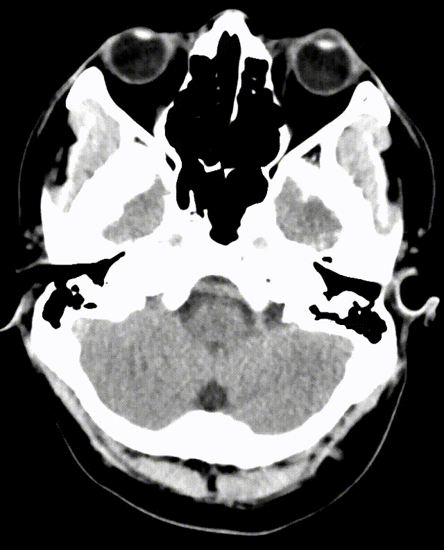
03 术前影像信息
➢急诊头颅CT
-
脑动脉硬化;
-
鼻窦炎。

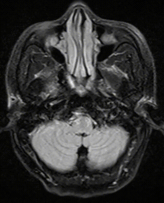
➢头颈部CTA+脑灌注
-
双侧枕叶、丘脑、脑干及双侧小脑半球血流灌注减低,建议MRI检查。
-
双侧椎动脉V4管腔闭塞,建议DSA检查。
-
双侧颈内动脉虹吸段钙化斑块,管腔中-重度狭窄;双侧大脑中动脉M1段、大脑后动脉硬化,管腔轻微-轻度狭窄。
-
双侧大脑前动脉共干。



04 术前诊断
① 急性脑梗死;
② 高血压病;
③ 2型糖尿病;
④ 肺部感染?
05 术前讨论
➢手术指征
患者为老年男性,病情进展加重快,入院时已超静脉溶栓时间窗,意识障碍逐渐加深,NIHSS评分:13分;头颅CT未见明显梗死病灶;头颈部CTA+脑灌注提示:双侧枕叶、丘脑、脑干及双侧小脑半球血流灌注减低,双侧椎动脉V4管腔闭塞。
➢发病机制
考虑双侧椎动脉狭窄性闭塞,存在狭窄内血栓或狭窄后血栓形成可能性大。
➢手术策略
结合患者头颈部CTA影像资料,右侧椎动脉纤细且发育变异,左侧椎动脉为优势椎动脉,拟进行“左侧椎动脉取栓+血管成形术”,采用以加奇材料为核心的最先进理念的BASIS技术以优化手术操作流程,最大程度减少血栓逃逸的风险。
06 术中器械
-
8F血管内通路导管
-
0.017inch 微导管
-
0.021inch 微导管
-
200cm 0.014inch 微导丝
-
300cm 0.014inch 微导丝
-
加奇生物 6F 125cm Tethys®中间导引导管
-
加奇生物 3.0*25mm Syphonet®取栓支架
-
加奇生物 2*15mm SacSpeed®球囊扩张导管
-
颅内支架系统 4.0*30mm
07 手术过程
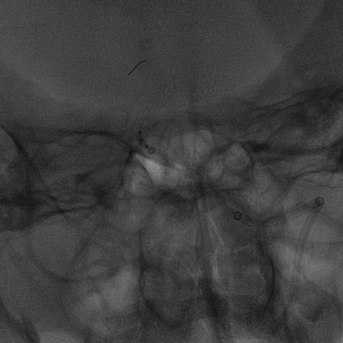
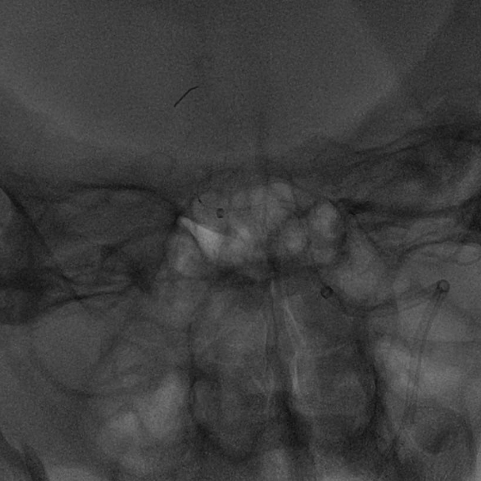
主动脉弓造影未见明显异常。
主动脉弓造影提示双侧椎动脉V4段闭塞。
左侧椎动脉造影提示椎动脉V4段闭塞。
运用BASIS技术植入3.0*25mm Syphonet®取栓支架,输送球囊对闭塞段进行扩张。

运用BASIS技术回收3.0*25mm Syphonet®取栓支架及6F 125cm Tethys®中间导引导管,取出血栓,并在左侧椎动脉V4段残余狭窄处置入颅内支架系统;
复查造影:左侧椎动脉、双侧大脑后动脉、小脑上动脉、小脑前下动脉显影正常。





术中取出的血栓。
08 术后情况
➢术后治疗
抗血小板聚集、降脂稳定斑块、抗感染、改善脑循环、脱水降颅压治疗。
➢术后影像
术后第二天复查CT:脑干、双侧小脑半球、枕叶、丘脑脑梗死。
➢预后情况
病例二
01 患者基本信息
患者:男性,38岁。
主诉:右侧肢体乏力6小时余。
现病史:
-
患者于6小时余前晨起出现右侧肢体乏力、麻木,具体表现为不能上抬,伴嗜睡状态。无视物模糊,无恶心、呕吐,无视物不清、肢体抽搐,无二便失禁。
-
遂呼叫120护送至我院急诊,在急诊完善头颅CT未见明显脑梗死病灶,急诊拟“急性脑血管意外”收入院。
-
自发病来,患者精神、饮食差,大、小便正常。
既往史&个人史:既往体健,有吸烟史,偶有饮酒史。
02 入院查体
T:36.6℃,P:90次/分,R:20次/分,BP:148/94mmHg。
昏迷状态,查体不合作。双侧瞳孔等大等圆,直径约3.0mm,光反射灵敏,双眼向左凝视。双侧额纹、鼻唇沟对称。四肢肌力0级,四肢肌张力增高,双侧腱反射(++),双侧Babinski、Chaddock未引出,无脑膜刺激征。
NIHSS评分30分;ESSEN评分1分,低危;发病前mRS评分0分。
03 术前影像信息
急诊颅脑CT平扫未见异常,必要时MRI检查。
04 术前诊断
① 急性脑梗死;
② 高血压病;
③ 昏迷状态。
05术前讨论
➢手术指征
患者为中年男性,因右侧肢体乏力6小时余入院,无静脉溶栓指征,合并意识障碍重及四肢瘫痪,NIHSS评分30分,ASPECTS评分10分。结合既往病史及影像学检查考虑后循环血管急性闭塞导致脑梗死。家属有介入治疗意愿。
➢发病机制
考虑双侧椎动脉狭窄性闭塞,存在狭窄内血栓或狭窄后血栓形成可能性大。
➢手术策略
采用以加奇材料为核心的最先进理念的BASIS技术以优化手术操作流程,最大程度减少血栓逃逸的风险。
06 术中器械
-
6F Heralder®DA远端通路导引导管
-
0.017inch 微导管
-
0.021inch 微导管
-
200cm 0.014inch 微导丝
-
300cm 0.014inch 微导丝
-
加奇生物 5F 125cm Tethys®中间导引导管
-
加奇生物 3.0*25mm Syphonet®取栓支架
-
加奇生物 2*15mm SacSpeed®球囊扩张导管
-
颅内支架系统 4.0*30mm
07 手术过程
主动脉弓造影:主动脉弓呈"Ⅰ"型弓,依次发出头臂干、左侧颈总动脉起及左侧锁骨下动脉,以上三支血管开口未见无明显狭窄、扩张及斑块形成,前向血流正常。
猪尾巴导管行全脑血管造影,可见双侧椎动脉V4段闭塞。
左侧椎动脉造影提示左侧椎动脉V4段闭塞;右侧锁骨下动脉造影提示右侧椎动脉纤细并V4段闭塞。


运用BASIS技术植入3.0*25mm Syphonet®取栓支架,输送球囊对闭塞段进行扩张。

运用BASIS技术回收3.0*25mm Syphonet®取栓支架及5F 125cm Tethys®中间导引导管,取出血栓;
复查造影:左侧椎动脉、双侧大脑后动脉、小脑上动脉、小脑前下动脉显影正常。


07 术后情况
➢术后影像
术后复查CT:双侧大脑及小脑半球稍肿胀。
术后MRI:脑干新发梗死。
➢患者住院8天出院诊断
①急性脑梗死(脑干,大动脉粥样硬化型);
②基底动脉闭塞;
③双侧椎动脉V4段闭塞;
④高血压病1级,极高危组;
⑤双侧额顶叶脑白质变性。
➢术后治疗
丁苯酞软胶囊 0.2g,口服,每天三次(3个月)
阿司匹林肠溶片 100mg,口服,每天一次(至少3个月后停用)
硫酸氢氯吡格雷片 75mg,口服,每天一次 (长期)
阿托伐他汀钙片 20mg,口服,每晚一次(长期)
➢出院情况
患者神志清楚,言语稍含糊,精神、睡眠、食欲可,大小便正常。
查体:生命体征平稳,神志清楚,能遵嘱。双肺呼吸音清,未闻及干湿性啰音。心律齐,各瓣膜区未闻及明显杂音,腹平软,全腹无压痛反应,双下肢无水肿。
神经系统专科查体:双侧瞳孔等大等圆,直径约3.0mm,光反射灵敏。双侧额纹、鼻唇沟基本对称,伸舌居中。四肢肌力5级,四肢肌张力基本正常,双侧腱反射(++),双侧病理征阴性,无脑膜刺激征。
NIHSS评分1分;TOAST分型:大动脉粥样硬化型;mRS评分1分。
➢3月后复查头颈部CTA
双侧颈总动脉、颈内外动脉及颅底动脉环(Willis环)显示良好,双侧颈内动脉颅内段、双侧大脑前、中、后动脉及分支血管通畅,血管形态、走行规则,管腔通畅,管壁光整,管腔未见明显异常瘤样扩张、狭窄或闭塞。


➢3月后随访
患者神志清楚,言语清楚,精神、睡眠可,大小便正常。查体:双侧瞳孔等大等圆,直径约3.0mm,光反射灵敏。双侧额纹、鼻唇沟基本对称,伸舌居中。四肢肌力5级,四肢肌张力基本正常,双侧腱反射(++),双侧病理征阴性,无脑膜刺激征。
NIHSS评分0分;TOAST分型:大动脉粥样硬化型;mRS评分0分。
病例总结
//
第二例患者采用加奇生物 6F Heralder®DA远端通路导引导管+5F Tethys®中间导引导管,在强支撑的同时,又能高到位,避免了采用8F导引导管或6F长鞘所导致的椎动脉容易痉挛、夹层等问题。
在处理颅内闭塞病变时常使用内径小、通过性好、头端柔软的微导管,加奇生物 Syphonet®取栓支架能顺畅地通过0.017inch微导管,避免了微导管的交换,简化了手术流程。
加奇生物 SacSpeed®球囊扩张导管较长的输送杆、匹配Syphonet®取栓支架导丝的快速交换系统,能通过支架的锚定作用高到位,很好地处理了球囊的到位难题。
第一例患者发病时间长、进展快速、基底动脉血栓负荷量大,术前CTA即提示后循环大面积低灌注,长时间低灌注导致基底动脉穿支不可逆性损伤,故患者虽血管再通,但预后不佳。
术者简介
朱勇
深圳市光明区人民医院
-
深圳市光明区人民医院神经内科副主任,副主任医师,医学硕士,毕业于中南大学湘雅医学院,澳大利亚悉尼大学访问学者
-
中国卒中学会高级会员
-
广东省医学会脑血管病学分会委员
-
广东省卒中学会缺血性神经介入分会委员
-
广东省基层医药学会神经内科专委会委员
-
深圳市健康管理学会介入放射专委会常务委员
-
深圳市卒中学会理事
-
深圳市卒中学会中西医结合分会副会长
-
深圳市卒中学会介入分会副会长
-
深圳市医学会内科学专委会委员
-
深圳市健康管理协会脑与神经疾病专委会委员
-
深圳市医院协会介入医学分会委员
-
深圳市医师学会神经内科医师分会青年委员
团队介绍
深圳市光明区人民医院 脑血管介入团队成员
朱勇、刘涛、刘潺潺、兰春伟、周彪
亚专科简介
特别说明:本页面所包含的文字、图片、音视频等内容仅供医学专业人士参考。本页面所包含的内容,仅为专家个人观点,不能代替医疗专业人士的判断。本页面不向非医学专业人士开放,敬请理解。

声明:脑医汇旗下神外资讯、神介资讯、脑医咨询所发表内容之知识产权为脑医汇及主办方、原作者等相关权利人所有。未经许可,禁止进行转载、摘编、复制、裁切、录制等。经许可授权使用,亦须注明来源。欢迎转发、分享。

