一个12年前就植入支架的老病人,这次又因为心绞痛2个月入院。他说:预感到自己的血管又出问题了!
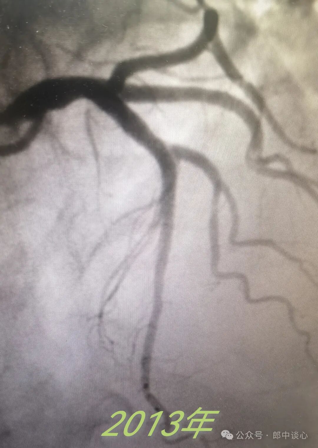
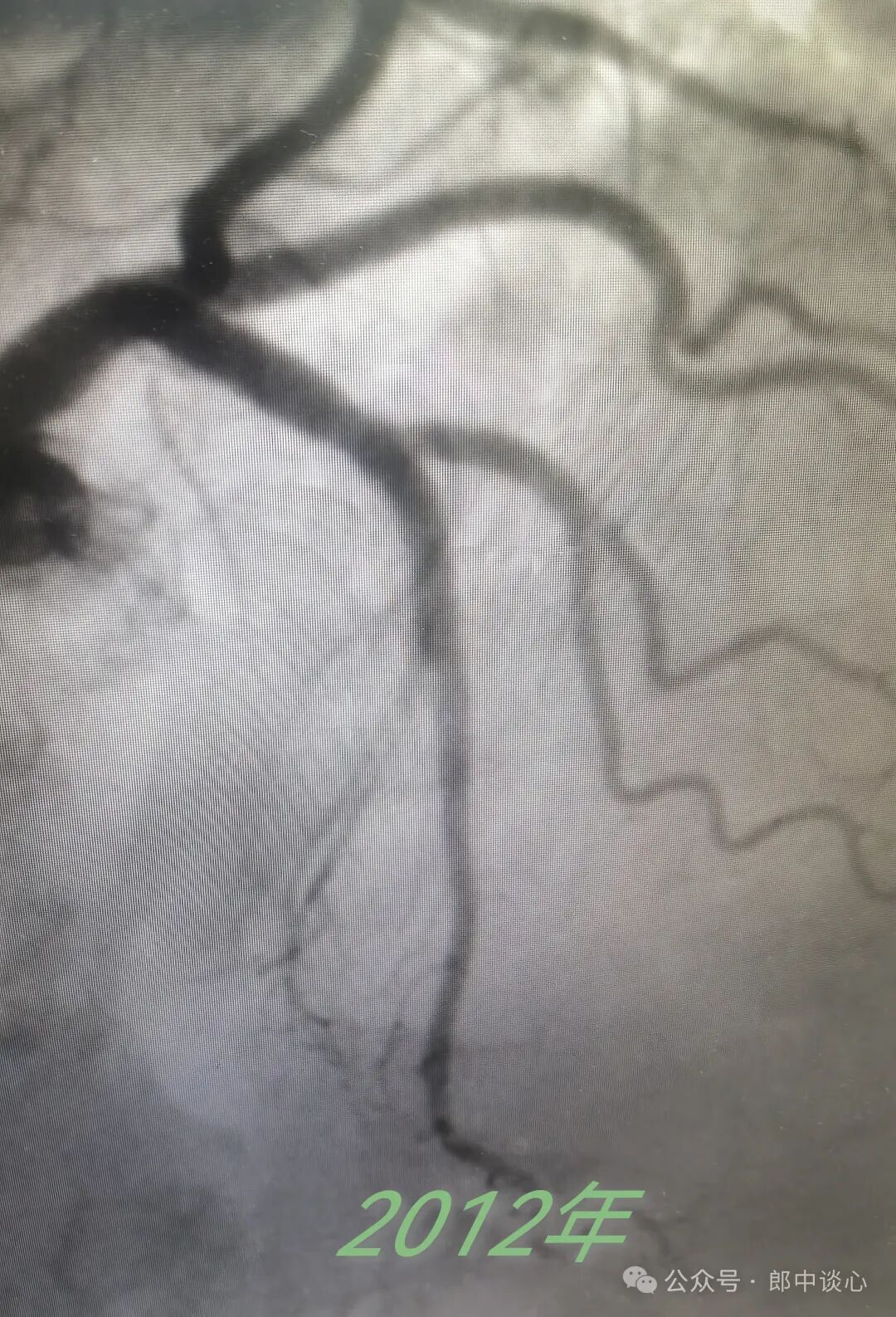
他在2012年前就有支架植入史,我在电脑上还能看到他在2012年、2013年做的造影。
看起来,当时的左冠还不错。


6年前,也就是2018年,他心绞痛入院。
粗大的对角支有个严重的狭窄(小箭头所示),前降支主支有个临界病变{1},而{2}部位造影上当时看着很正常。

考虑对角支是缺血血管,做了PTCA,即刻效果也不错,术后心绞痛也缓解了。

又过去了一个6年,2024年他又心绞痛了!
再做造影,六年前PTCA的对角支保持得还不错,{1}部位似乎还是六年前的那个临界病变,但前降支{2}部位出现了一个“新”的病变!
难道{2}就是他本次的犯罪病变?或者说他本次缺血心绞痛发作是与{1}病变的叠加效应?
假定是这样,是不是这次只需要处理病变{2}就可以了?继续不动病变{1}?
我一度以为真相就是这样了,很满足很得意。
因为单纯冠脉造影获取的信息支持我这想法啊。

可是,总感觉哪里有点儿不对头。
本次的犯罪病变真是{2}吗?
于是,我们给他做了前降支的OCT,结果确实有与造影非常不一样的发现!
更靠近端的{2}病变管腔面积是非常小,只有1.50mm*mm左右!

没想到的是,远端的那个六年里看起来变化不大的临界{1}病变管腔面积却是更加小,只有1.22mm*mm!
更没有想到的是,距{1}病变稍远,不到5mm处,还有一斑块破裂遗留下的夹层!


应该真相大白了!
最终病变段的解决方案:支架+PTCA的“串联”方式。
最后获得了一个可以媲美12年前的造影结果!

他的故事就这样结束了吗?为什么他的动脉粥样硬化病变在12年里反反复复?
你以为真相是这样,其实可能是那样!
你以为故事这样结束,可能一个“新故事”刚刚上路……。
如有侵权,请联系删除!
