背景
球囊引导导管(BGC)在大血管闭塞中联合机械取栓应用已经有较为丰富的循证医学证据。然而,在颅外段颈动脉狭窄中,BGC联合颈动脉支架置入术(CAS)的运用还很少有文献报道。通过BGC实现病变近端血流逆转,可能是未来CAS中血栓保护的重要方法。
研究方法
本研究回顾性分析了自2020年7月至2021年9月,在美国Buffalo大学医学中心,联合Walrus球囊导引导管行择期CAS的连续性纳入的成年患者。对患者特征、手术细节和临床随访进行评估。TIA定义为缺血导致的可逆性神经功能缺损,并在24小时内缓解;缺血事件定义为持续时间长于24小时的神经功能缺损,并由影像学证实。
演示视频
步骤解析
-
颈动脉分叉部狭窄病变

-
路图引导下,BGC置于颈总动脉,病变近端充盈球囊

-
球囊充盈后,手推造影,造影剂滞留能进一步明确狭窄病变特征。开放阀门(stopcock),可见造影剂回流,提示反向血流建立

-
路图引导下,导丝通过狭窄

-
远端保护伞到位

-
支架释放完毕

-
球囊后扩

-
球扩后造影

-
保护伞回收

-
最终成形效果

-
颅内血流明显改善

研究结果
共纳入105例患者。平均年龄69.8±9.4岁,女性36例(34.3%)。最常见的合并症是高脂血症(76.2%)和高血压(57.1%)。59例(56.2%)患者有症状。99例(94.3 %)患者狭窄程度≥70%。对侧狭窄≥50%者44例(41.9%)。90例(85.7%)患者建立血流逆转后使用保护伞。85例(80.9%)患者接受了球囊扩张术。支架置入成功率100%。围术期无短暂性脑缺血发作(TIA)或卒中发生。30天随访期间2例(1.9%)患者发生卒中,1例(0.9%)患者死亡。

图1. 当BGC工作时,颈总动脉、颈内动脉、颈外动脉、Willis环中颈内动脉的血流方向示意图。(注:箭头代表血流方向)

表. 入组患者的基线条件、病变特点、手术细节及30天的临床预后
结论
在Buffalo单中心的经验中,BGC联合CAS治疗颅外段颈动脉狭窄是安全、可行并且有效的,技术成功率为100%,未发生围术期血栓栓塞并发症。未来需要更多的研究以建立使用BGC实现近端保护与血流逆转的标准。
典型病例
患者男性,66岁,以“言语不清伴左侧肢体无力1天”入院,既往高血压病史、吸烟史。查体:构音障碍,伸舌左偏,左侧上下肢体肌力4级,左侧上下肢针刺觉减退,左侧Babinski征阳性。NIHSS评分:5分(言语1分,面瘫1分,左上肢1分,左下肢1分,感觉1分)。术前头DWI:右侧额颞顶枕叶急性分水岭脑梗死;CTA:双侧颈内动脉起始部重度狭窄;CTP:右侧大脑半球CBF↓,MTT、TTP↑。

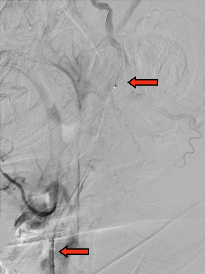
DSA:双侧颈内动脉起始部重度狭窄;前交通及双侧后交通未开放。

8F Fluxcap®球囊导引导管在5FMPA多功能125cm导管同轴辅助下送至右侧颈总动脉,微导丝送至C4段,沿微导丝送入6mm保护伞至C2段平直段,手推造影显示保护伞打开良好。

沿保护伞导丝送入4.0mm×30mm球囊,充盈球囊导引导管的球囊阻断血流,于狭窄段定位后命名压扩张球囊,泄球囊时在球囊导引导管的体外端予以负压回抽血液,取出一2mm血栓。经Fluxcap®球囊导引导管输送7.0-10.0mm×40mm自膨支架(Protégé RX)至狭窄段确认位置后释放。应用125cm多功能导管回收保护伞,多功能导管体外端予以负压回抽血液,保护伞内有血栓。


造影可见残余狭窄10%左右,颅内各分支血管通畅。

术后即刻CT:未见明显异常。术后患者症状逐渐好转,出院时NIHSS评分:1分(面瘫1分);继续抗血小板聚集及他汀类药物治疗。
术者体会
本例患者双侧颈内动脉起始部重度狭窄,右侧颈内动脉为责任血管,故先处理右侧颈内动脉起始部狭窄,避免同期处理双侧颈内动脉起始部重度狭窄增加高灌注的风险。
加奇Fluxcap®球囊导引导管拥有0.087in的大内腔,可匹配8F短鞘与6F中间导管,可适配包括Protégé、Wallstent、Precise等全直径规格支架,在术中可以放心选择,无需担心适配性问题。
加奇Fluxcap®球囊导引导管到位顺畅、支撑稳定,充盈球囊可完全阻断近端血流,扩张球囊开始充盈时充盈BGC球囊,采用保护伞和近端球囊双重保护,最大限度地防止扩张时及支架打开时的血栓逃逸,从而降低栓塞风险,提高患者预后。
术者:王本孝
皖北煤电集团总医院
述评

特别说明:本页面所包含的文字、图片、音视频等内容仅供医学专业人士参考。本页面所包含的内容,仅为专家个人观点,不能代替医疗专业人士的判断。本页面不向非医学专业人士开放,敬请理解。


