

部位:
术式:
特点:
患者基本信息
-
基本信息:
女性,69岁。
-
主诉:“头痛10天余”入院。
-
入院查体:神志清楚,言语应答正确,查体合作,双侧瞳孔直径3.00m,瞳孔直接对光反射灵敏,间接对光反射灵敏,双侧眼球活动正常,视力正常,视野无缺损,听力正常,口角无偏斜,伸舌居中,饮水无哈咳,无声音嘶哑,颈部抵抗可疑,四肢肌力Ⅴ级,肌张力正常,双侧面部感觉正常,腹壁反射存在,双侧肱二头肌反射存在,双侧膝腱反射正常,双侧Babinski征阴性。Hunt-Hess分级Ⅰ级。
-
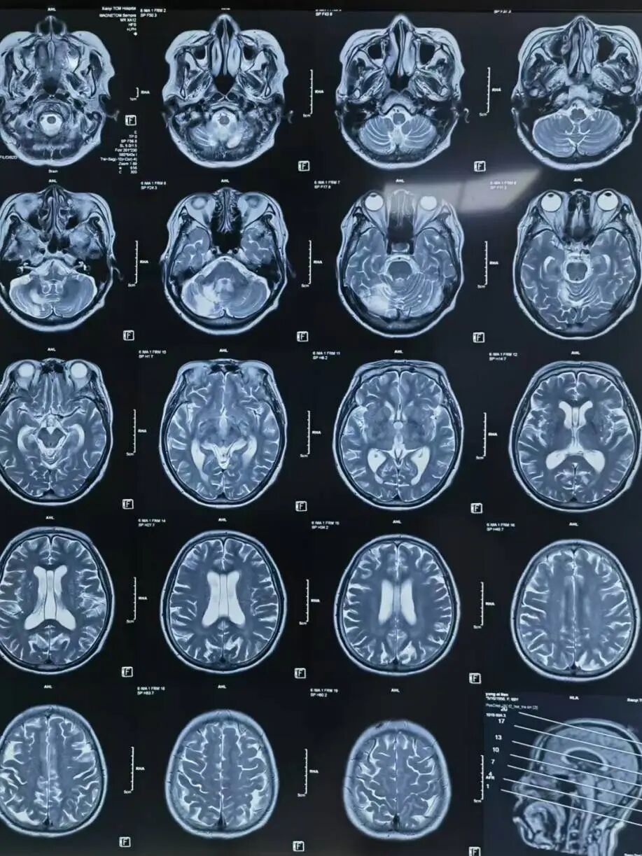
辅助检查:颅脑MR(当地医院):左侧小脑半球、双侧侧脑室旁、基底节区及双侧额叶皮层下多发腔隙性脑梗死;右侧小脑半球软化灶血管造影(当地医院)。颅脑MRA(当地医院):左侧颈内动脉后交通段局部膨大,可疑动脉瘤。 脑血管造影(当地医院) :左侧后交通动脉瘤。
术前影像
颅脑MR (当地医院) :左侧小脑半球、双侧侧脑室旁、基底节区及双侧额叶皮层下多发腔隙性脑梗死;右侧小脑半球软化灶。




颅脑MRA(当地医院):左侧颈内动脉后交通段局部膨大,可疑动脉瘤。


术前化验:
腰穿化验(当地医院):淡血性脑脊液。

主动脉弓造影:Ⅱ型主动脉弓,双侧椎动脉正侧位造影未见大脑后动脉显影。




右侧颈动脉正侧位造影:可见原始胚胎型大脑后动脉。


左侧颈动脉正侧位造影:左侧颈内动脉后交通段动脉瘤(箭头所示)。


左侧颈内动脉3D造影可见动脉瘤位于后交通动脉起始处。


3D血管造影可见左侧后交通动脉瘤,大小约7.05×7.47mm,瘤颈3.68mm,考虑胚胎型大脑后动脉。

术前讨论
初步诊断:左侧后交通动脉瘤 蛛网膜下腔出血。
手术策略分析:患者头痛症状起病,腰穿证实为血性脑脊液,脑血管造影可见左侧交通动脉动脉瘤,考虑为破裂动脉瘤,应尽早手术治疗。
-
开颅夹闭:手术效果安全可靠,左侧翼点入路可以对动脉瘤进行夹闭手术治疗,宽颈动脉瘤夹闭也有一定难度,且患者家属不愿意开颅,要求介入手术。
-
血管内介入手术策略:由于后交通动脉瘤为破裂动脉瘤,最好单纯栓塞动脉瘤,栓塞过程不使用支架辅助,但依据术前当地椎动脉造影均未见大脑后动脉显影,考虑胚胎型大脑后动脉可能性较高,且后交通动脉角度刁钻,所以术中难点是如何保护后交通动脉。
手术方式:
-
预案一:术中再次脑血管造影,在行椎动脉造影时压迫左侧颈动脉,明确后交通P1段是否开放。如果开放,栓塞可以不必保护后交通动脉,单纯栓塞即可,不必担心后交通动脉及其穿支动脉闭塞导致缺血事件;
-
预案二:如术中压迫左侧颈动脉,未见后交通P1段开放,此时手术难度明显增加,依据血管的弯曲程度,需要先将1根支架微导管置于后交通动脉内,另1根栓塞微导管置于动脉瘤内,待成篮弹簧圈置于动脉瘤内,支架部分释放于后交通动脉内,部分释放于颈内动脉,此时支架末端甩尾于颈内动脉后交通段远端,达到摆尾目的。释放支架后,利用其支撑作用对后交通动脉进行保护,最终完成动脉瘤栓塞。
药物准备:由于是急诊手术,术中支架释放后给与静脉使用替罗非班,静脉推注6ml,然后依据体重给与6ml/h持续泵入24小时,替罗非班停用前6个小时桥接双抗。
手术耗材
-
远端通路导引导管:ENVOY DA
-
微导丝:Synchro-14
-
支架微导管:SL-10
-
栓塞微导管:Enchlen-10
-
支架:Atlas 4.mm×21mm
-
弹簧圈:Target 2mm×4cm、3mm×8cm、4mm×12cm等不同型号弹簧圈
手术过程
明确大脑后动脉P1是否开放:压迫左侧颈动脉,右侧椎动脉造影时,大脑后动脉未见显影,证实大脑后动脉P1不开放,术中必须严格保护后交通动脉。


3D血管造影,选择合适的工作角度:分析载瘤动脉与动脉瘤之间的关系,动脉瘤完全由后交通动脉发出,且后交通动脉从颈内动脉处折返发出,微导丝超选进入后交通动脉角度刁钻,再次向患者家属交代病情,建议开颅夹闭,患者家属理解介入手术困难,仍要求介入治疗。


观察动脉瘤与载流动脉不同角度。


微导丝携带微导管SL-10超选进入后交通动脉远端,由于弯曲度大,单纯微导丝塑形难以达到超选目的,同时塑形微导管,利用微导管的弯曲辅助微导丝进入后交通动脉。


栓塞微导管到位后首先使用弹簧圈栓塞,成篮不稳定,使用Atlas支架4.0mm×21mm保护后交通动脉(箭头所示支架头端及尾端),释放支架的要点在于精准定位,同时判断微导管张力,在预设的释放起点准确打开支架,之后顺行释放支架,支架的尾端打开时须不受颈内动脉管径约束,依靠张力摆动至颈内动脉后交通动脉段远端,起到保护后交通动脉的目的。

栓塞动脉瘤:在栓塞动脉瘤过程中血管造影可见后交通动脉均显影,动脉瘤栓塞致密,术中依次使用弹簧圈:使用Target2mm×4cm、Target2mm×4cm、Target2mm×4cm栓塞子瘤,再使用多枚弹簧圈补充栓塞瘤体。

栓塞动脉瘤:在栓塞动脉瘤过程中血管造影可见后交通动脉显影,动脉瘤栓塞致密。

术后
术后即刻造影:后交通动脉瘤致密栓塞,后交通动脉及颈内动脉保护良好。


术后即刻动态造影。


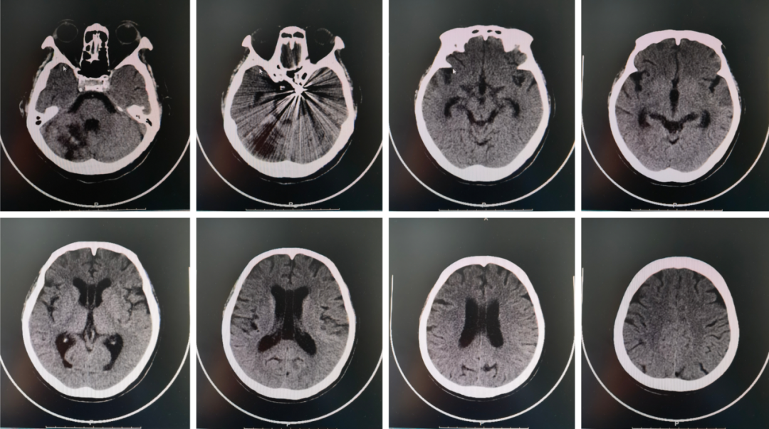
术后颅脑CT示:颅内动脉瘤栓塞术后改变,右侧小脑半球软化灶。

术者体会
本病例手术过程中使用Atlas支架体会有以下优点:
-
输送性能好:血管迂曲,可输送到达更弯曲,更细小的血管。
-
智能杂合环设计:顺应性和贴壁性能良好,可以实现急弯贴壁。
-
在级差较大的血管中,选大支架置入,支架打开容易,达到标称直径并贴壁形成穹隆,更好的覆盖宽颈。
-
准确释放:支架短缩率低,以支架的不透射线标记横跨动脉瘤瘤颈定位,支架长度在动脉瘤颈两端至少4mm;提前确认支架近端的不透射线标记位置,最终支架全部离开微导管顺利“摆尾”至后交通段远端。
科室介绍
山西省人民医院神经外科是集临床、急救、教研、质控及技术推广等于一体、综合实力最强的省内领军中心。科室规模、诊疗项目、疑难重症诊治,就诊人数和手术量、新技术开展、团队建设、高精医学装备与信息化建设、科研以及继教专培等均居全省神经外科领域之首。科室于省内率先设置有高品质、齐全独立的亚专业:神经肿瘤专业、神经脊柱专业、脑血管病专业、神经重症及创伤专业、功能神经外科专业、神经内镜及小儿神外专业等。
科室拥有当今国内最现代化的神经外科新技术集成与应用平台:数字(5G)一体化复合手术部,术中3.0T核磁、术中血管造影DSA、术中超声、移动CT、移动DSA、神经外科手术机器人、手术导航系统、脑卒中\脑外伤绿色通道、神经重昏迷病人超早期多模态促醒系统、微创\精准\网络神经外科及加速康复神经外科等目前国内外顶级设备与系统。

山西省人民医院神经外科拥有全面领先的临床、科研、教育、质控、推广及大数据六大平台,十二个核心基地、中心和项目:临床国家脑血管病疑难病症诊治能力提升工程项目;国家临床重点专科建设项目单位;北京天坛医院-山西神经疾病区域医疗中心;上海华山医院-山西省人民医院神经疾病联盟科研;山西省重点学科、山西省临床重点专科、山西省神经疾病科研临床中心;山西省3D数字医疗工程研究中心;山西省人工智能AI大数据工程研究中心;山西省神经外科-周良辅院士工作站;国家神经外科住\专一体医师培训基地;中国神经外科继续教育培训山西基地;山西省神经介入进修与培训基地;山西省神经外科质控中心依托科室;山西省神经外科专科联盟理事长单位;中国志愿者医生山西工作站;大数据医疗国家脑肿瘤注册研究平台(NBTRC);国家脑卒中注册研究平台;国家创伤中心颅脑创伤数据中心平台等。

山西省人民医院神经外科脑血管病亚专业组简介:
-
省医脑血管病亚专业组是神经外科几代人努力的结晶,80年代末开展显微外科手术治疗,1997年起开展神经放射血管内介入治疗,2007年4月正式成立“脑血管病”亚专业组,主要针对颅内动脉瘤、脑血管畸形、硬脑膜动静脉瘘、脊髓血管病变等出血性脑(脊髓)血管病和脑梗塞、烟雾病、颈动脉狭窄、椎动脉狭窄、脑动脉硬化等缺血性脑血管病开展诊疗和临床研究工作,前后相继开展了颅内动脉瘤夹闭及介入栓塞术、颅内动脉狭窄支架植入及颅内外动脉搭桥手术、颈动脉内膜剥脱手术、颈内动脉海绵窦瘘介入栓塞术、脑内及脑干血管畸形切除、急性脑血管闭塞再通术、复杂脑(脊髓)血管病的复合手术治疗等,疗效处于国内先进水平,同时带动了省内脑血管病治疗的提高。
-
开展临床研究成果:人工智能评估颅内动脉瘤破裂风险、人工智能评估高血压脑出血血肿增大风险、手术用造影机器人。
-
首批国家神经介入进修与培训基地。


指导专家介绍
任少华
■ 山西省人民医院
山西省人民医院神经外科主任医师
中华医学会神经外科学会血管内治疗组委员
中国医师协会神经外科分会介入组委员
中国医师协会神经介入委员会委员
参与国家自然科学基金研究一项,卫生部基金一项、省级自然科学基金多项,获得山西省科技进步奖二等奖、三等奖各一项,发表SCI论文6篇,国家级省级论文10余篇
术者介绍
任晋瑞
■ 山西省人民医院
山西省人民医院神经外科脑血管病亚专业医疗组长
副主任医师,神经外科学博士,硕士研究生导师
山西省“三晋英才”支持计划(2018)青年优秀人才
山西省卫健委神经外科质控中心副主任
中国医师协会神经外科医师分会脑血管病学组委员
中国卒中学会脑血管外科分会委员
山西省医学会神经外科专委会委员
主持省级科研项目四项,主持药物临床试验一项先后参与国家863基金资助项目两项和国家 “十四五”课题两项、国家自然科学基金一项;获得山西省科学技术进步二等奖一项、三等奖一项
专业擅长:各类脑(脊髓)血管病(颅内动脉瘤、脑梗死、脑出血、脑血管狭窄、颈动脉狭窄、烟雾病、脑血管畸形、脊髓血管畸形、海绵状血管瘤等)的手术和介入治疗
觉得内容还不错,分享给更多好友




