
本文来源:医流一叶
本文作者:西京PPT老王
老张,一位传统的陕西男人,今年已经72岁了。
老张接近1米8的大个子,腰板还挺直,走路还比较快,老伴在后面直追,“老头子,慢点”,老伴好不容易追上了要去搀扶,老张把手一甩,“别扶,省得人笑话”。
老伴嗔怒:“也不看都多大年纪了,得了病,还逞强!”
老张并不歇下脚步,“这算什么病,不疼不痒的,就是个小疙瘩,再切了就好了,30年前都切过一回,还怕个啥?”
老太太一直就说不过老头子,只好不做声,加快脚步去追赶。
此刻,30年前的一幕浮现在老伴的面前,那时老张42岁,她38岁,他们也是这么一前一后的往医院赶。她一直想搀着老张,老张把手一甩,还是那句“省得人笑话”。
那时候,他俩都起早贪黑的在自家地里干活,老张每天都要把地里种的菜,挑到镇上菜市场和老伴卖,日子虽然不富,也一天比一天好。
突然有一天,老张的左耳前面鼓起一个包,老张并不在意,老伴有点担心,说:咱们去医院看一下?
老张还是那一句:“这算什么病,不疼不痒的,就是个小疙瘩”,
老伴终究是执拗不过他的。
这样一拖就是3个月。老张的包块长大了一些,老伴实在不放心,“孩子上了高中,现在住校,他爹,给你看看病吧”?
“不去!”。
老伴急了,“以前啥都听你的,这次得听我一回,赶紧治好了,多种点羊肚菌多挣点钱,孩子要上大学、结婚都等着花钱,难道你也想让孩子面朝黄土背朝天的一辈子?”
提到孩子,老张服软了。
送走孩子,老张去了市里大医院,办了住院手续。省医生很快就给做了手术,术后医生说是腮腺多形性腺瘤。
老张不懂,“是母瘤子还是公瘤子?”
那时很多老百姓就传着,“公瘤子一切就完了,如果是母瘤子,就要往其他地方荫(转移)”,
大夫觉得再给他讲什么是多形性腺瘤,已经没有了意义,但病人心理还是懂一些的,“就是你们说的公瘤子”,两口子长长出了一口气。
老张身体好,伤口恢复的好,没几天就出院了。
出院后医生交代要定期复查。老张给老伴说,“还复查啥?已经切掉了,难道还能再长出来?”
老伴说,“咱就一年后再看看”。
老张又迈着大步回家了。
这次手术,老张除了耳朵前面凹陷了一些,对老张也没有什么影响,农村人也不在乎美容的事。
日子一天天过去,两个人忙碌着。
春夏秋冬,燕去燕又回,一年很快就过去了。
一年后,老张感觉没有什么事。农村的生活在一日日简单的重复中度过。
很快,10年过去了,孩子也考到了外地的大学,后来就留在了外地工作,想要接老人一起在城里住,两个老人都不习惯,还是整天忙活着这几亩地。
一日,老张又摸到了手术的地方一个绿豆大小的包块,他没有告诉老伴和孩子。
这个包块几乎没有再增大,老张也不再关心,老伴也一直没有重视。直到一年前,老张的包块突然长大,老两口又去了在口腔医院做手术。
这次的术后病理提示:多形性腺瘤,局部呈侵袭性生长,细胞异型明显,符合多形性腺瘤恶变。
手术医生给老张讲,老张不明白,怎么就是恶性的,难道公瘤子还能变成母瘤子不成。
手术医生不懂老张口中说的什么公母,又解释不通,最后建议进行放疗。
“放疗,是不是烤电?会不会把我烤的说不了话?”老张问道。
“这个,最好咨询放疗科” 医生答。
“咱家的桃花开了,要打农药,两三个月就要天天卖桃子。老婆子,咱娃的负担也重,一个孙子正在上大学,一个在上高中,就别给娃说了,等忙过这一茬子再说。烤电要是连话都说不了了,活着还有什么意思,回家!”老张对老伴道。
老太太一想也是,老头要是说不了话,真有个三长两短的,那可怎么办?,老太太也不再坚持。后续的放疗,自然也就没有做。
等过完了农忙,已经大半年过去了,老张不仅能够摸到自己脖子上的包块,还感觉全身的一种隐隐的酸痛,不行,要去看病,这次老太太通知了儿子,老太太隐隐的有种不详的感觉。
老太太和老张先到了医院,儿子随后赶来,儿子看重脖子增粗的父亲,一丝丝的心痛。
“不能再耽误了,找最好的专家,”儿子毕竟是大学生。
口腔科的医生推荐去找肿瘤科,我查了病人,给他儿子说,老人10年前已经有恶性表现,现在颈部、腋窝已经摸到了很多淋巴结,估计已经转移,患者全身酸痛可能骨头已经有了转移。
“怎么办?”
“如果条件允许,先做一个全身PET/CT,了解肿瘤的转移情况,再决定下一步的治疗方案”。"赶快帮我们开检查”,“求求你了,能给我们加到明天吗?”,知道了老张的情况后,我已经可以预测他的图像了,“加吧,最多再加加班”,大家也都默默无语。
做检查的时候,老太太全程陪同,儿子忙着联系住院的事。突然,老太太说,检查的时候能不能给老头眼睛上蒙上纱布,原来她看到我们的定位灯要照到眉心,那是激光灯,但老太太以为那就是射线,担心我们的检查会伤害老头的眼睛,老头子可不能被射线射瞎了。
作为一名医务工作者,从和老太太的交谈和检查过程中,我深深的感受到了他们的可怜和可悲,多了解一些最基础的医学知识该有多重要啊。
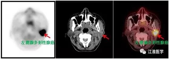
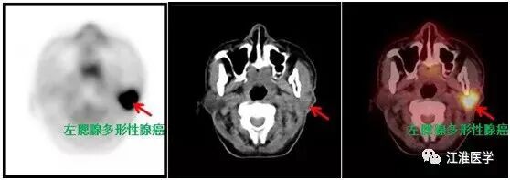
老张的结果,可想而知,下面的图诉说着血淋淋的故事:

图中左侧的黑白图除了大脑,心脏和膀胱外其余的黑点全是肿瘤病灶,右边的十字指示的是腮腺的复发的恶性肿瘤




有一天,魏老先生受邀到一位患者家中出诊。
诊治结束后离开,病人突然发现自己藏在枕头下的银子没了踪影。这一惊非同小可,病人的儿子怀疑是魏老先生拿走了,前往魏家询问。
魏老先生不做任何辩驳,问多少银子,然后直接还给了他。
事情一传十十传百,坊间对魏老先生的非议四起,但魏老先生却泰然处之,不为所动。
不久后,病人痊愈,在整理床铺时,意外在床底下找到了那丢失的银子。原来从床缝里滚下去了。病人大惊,对儿子说:“原来银子并未丢失,是我们错怪了魏老先生。我们应该公开登门还钱、道歉,不能再让老先生背负此不实之名。”
登门道歉时,老先生笑了笑,不以为意。解释说:“你父亲与我是同乡邻里,我知道他勤俭惜财。他听说丢了银子,病情定会加重,甚至可能一病不起。我宁愿自己受点委屈,背负污名,也要让你父亲心安,这样他的病自然就会好转。”
听到这番话,父子俩羞愧不己,叩头谢罪。“魏善人”的名声也在当地广为流传。老先生至八十高龄,仍获皇恩封赏。
路漫漫其修远兮,吾将上下而求索。
医乃仁心仁术,近佛者方为医。
纵有风霜扑面,白衣初心不改。
作者简介:西京PET老王 ,男,副主任医师,副教授,硕士生导师。1999年毕业于西安医科大学。2008年毕业于第四军医大学影像医学与核医学专业获硕士学位。
来源:转载仅做分享,版权归原作者所有,向原作者致敬。如有来源标注错误或侵权请联系微信号,我们将及时更正、删除,谢谢!
