昨天早晨 7:30,80 多岁的张大妈突发神志不清,伴左侧肢体瘫痪;至 13:42,120 急救车紧急驶入徐州市中心医院本部。此时张大妈(化名)不仅昏迷状态未缓解、左侧肢体仍完全无法活动,还新增剧烈气喘、胸闷症状,连平躺都难以实现 —— 这是急性缺血性脑卒中合并快速房颤、心力衰竭的典型危重症表现。此前当地医院已紧急评估,果断建议转院至徐州市中心医院接受取栓治疗,而这,正是挽救她生命与肢体功能的最后希望。
接诊团队刚将患者推入急诊,棘手的状况便接踵而至。取栓术前需常规行头颈 CTA(计算机断层扫描血管造影)明确血管闭塞部位、CTP(计算机断层扫描灌注成像)评估缺血半暗带,但根据《急性缺血性脑卒中血管内治疗中国指南(2023)》,发病 6 小时内的前循环大血管闭塞患者可豁免 CTP 检查,直接推进取栓评估;更关键的是,张大妈既往有甲状腺功能亢进病史,CTA 所需的碘造影剂可能诱发甲状腺危象,影像科明确表示无法开展该检查。一边是病情危重、每延迟一分钟就有更多脑细胞坏死的紧急情况,一边是常规评估手段因禁忌证无法实施的困境,抢救陷入第一道僵局。除此之外,患者多年心脏病史引发的快速房颤,已导致心功能严重受损,呼吸科、心内科紧急会诊后,对症处理仍未能缓解其无法平卧的困境。而神经介入治疗的前提是患者平卧配合穿刺造影,全麻又因心功能差风险极高,两难局面雪上加霜。不少人私下议论:“这么重的病,又有基础心脏病,就算冒险取栓,预后也大概率不好,不如劝家属放弃。” 家属儿子却态度坚决:“只要有一线希望,就请你们全力抢救!”
“患者神志不清、肢体瘫痪,核心病因是脑血管闭塞,若不及时取栓,脑细胞会持续坏死,不仅可能终身残疾,还会因病情进展危及生命。躺不平、做不了 CTA 都不是放弃的理由,我们得想办法创造治疗条件!” 神经介入团队傅新民主任、宗海亮主任、陈施吾医生当机立断。他们没有囿于常规检查流程的教条,而是基于指南原则与患者危重症情综合研判:跳过 CTA 直接行数字减影血管造影(DSA),在造影确认大血管闭塞后立即实施取栓,以最直接的方式为抢救争取宝贵时间;同时迅速制定心功能改善方案,在导管室张学萍护士长、朱护师的配合下立即泵入硝酸甘油减轻心脏后负荷,联用利尿剂降低前负荷,双管齐下改善心功能。令人振奋的是,用药后不久,患者的气喘、胸闷症状逐渐缓解,竟然能够平稳平卧 —— 这为取栓治疗打开了关键突破口。
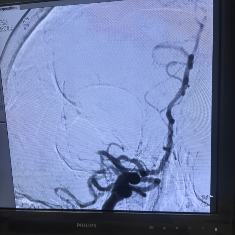
时间就是大脑,每一秒都关乎神经功能的恢复。神经介入团队争分夺秒,快速完成穿刺、造影、取栓一系列操作,全程仅用 1 小时便成功开通闭塞血管。术后,患者顺利转入 ICU 监护,而今天一早,奇迹已然发生:张大妈完全清醒,左侧肢体活动能力明显好转,从生死边缘被成功拉回。
这场极限抢救的成功,不仅是多学科协作的胜利,更抛出了一个值得所有医护人员和大众深思的命题:面对危重症患者,尤其是合并多种基础病、救治难度极大的病例,我们该秉持怎样的态度?
在临床实践中,类似张大妈这样的危重患者并不少见。部分医护人员会因 “预后差、成功率低” 的固有认知选择保守治疗,甚至劝家属放弃;有些家属也会被 “大概率治不好” 的判断吓退,错失抢救时机。但张大妈的案例用事实证明:危重症抢救的成功率或许有限,但 “不抢救” 就意味着彻底失去生机,“全力救” 才有可能创造奇迹。医学的本质是与死神赛跑,面对复杂病情,更需要医护人员摒弃 “怕失败、怕风险” 的心态,以专业判断为基石,以责任担当为支撑,主动寻找破解难题的方案 —— 就像傅新民主任团队那样,没有被 “躺不平” 的困境困住,而是通过多学科知识融合,先改善心功能、创造治疗条件,再精准实施取栓,最终实现救治突破。
对大众而言,这个案例也敲响了健康警钟:房颤患者是脑梗的高危人群,日常需规范管理基础病,出现突发昏迷、肢体无力等症状时,要第一时间选择有救治能力的医院,且在关键时刻给予医护人员充分信任,不轻易放弃抢救机会。生命只有一次,无论是医护人员的 “不抛弃”,还是家属的 “不放弃”,都是撬动生命奇迹的重要力量。
这场历时一小时的极限抢救,不仅挽救了一位患者的生命,更给医疗行业和社会带来深刻启示:医学不是绝对的 “成功率游戏”,而是 “生命至上” 的责任担当。面对危重症,多一份坚持,多一种思路,多一次尝试,就可能为患者赢得生的希望。正如傅新民主任所说:“放弃可能不会有遗憾,但坚持一定能看到希望 —— 这是医者的初心,也是对生命最基本的敬畏。”
