今天上午,徐州市中心医院多学科团队在 ICU 全满床的紧急情况下,打破常规诊疗模式,以患者生命安全为核心精准协作,成功为一名高危大脑中动脉重度狭窄患者实施微创介入治疗,术后在导管室完成麻醉复苏,患者转危为安,充分彰显了我院 “以患者为中心” 的服务理念和多学科协同救治的过硬实力,践行了院领导 “不囿于教条、一切为了患者” 的工作要求。
患者为 51 岁女性,有多年高血压病史,20天前曾突发脑梗死,经治疗后病情暂稳。

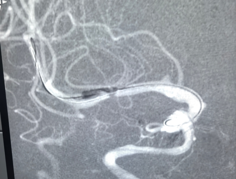
但仍面临极高的复发风险。进一步完善 CTP(计算机断层扫描灌注成像)、DSA(数字减影血管造影)及核磁共振管壁成像等检查后,明确诊断为 “大脑中动脉重度狭窄次全闭塞(动脉粥样硬化性)”。据神经内科主任陈国芳主任及神经血管介入傅新民主任团队评估,患者血管狭窄程度重,斑块不稳定,随时可能再次发生大面积脑梗死,不仅可能导致肢体瘫痪、失语等严重致残后果,更可能危及生命,手术治疗刻不容缓。
然而,一个棘手的问题摆在面前:当天我院 ICU 床位全满,连临时加床都已饱和,而该患者术后需在麻醉复苏室严密监护至清醒,按常规流程需转入 ICU 过渡。时间就是大脑,每拖延一分钟,患者都可能面临不可逆转的神经功能损伤。危急时刻,医务处迅速响应,秉持院领导 “以患者为中心、灵活处置危重病例” 的工作指示,牵头组织神经内科、神经血管介入亚专科、麻醉科、影像科、神经外科等多科室紧急会诊。经过充分评估与讨论,最终决定打破 “术后必入 ICU 复苏” 的常规,协调各方资源,在导管室为患者搭建临时复苏区域,由麻醉科全程护航,确保术后麻醉复苏安全。
术前,影像科师毅冰主任团队已完成精准筛查,为手术方案制定提供了详实的影像学依据;手术当日,神经血管介入MDT团队傅新民主任凭借丰富的临床经验和精湛的操作技术,由导管室护士长张学萍安排手术间、朱春婷导管室护师精心协助下,历时 1 小时完成精准治疗 —— 先以小球囊对狭窄血管段进行逐步扩张,再成功释放颅内支架,全程操作规范、精准高效,最大限度保护了患者正常脑组织供血。
麻醉环节是此次救治的关键保障。麻醉科科主任王立伟主任指示、高星医师全程坚守岗位,根据患者病情特点及手术流程,精准制定麻醉方案,灵活调整用药剂量与给药时机。手术中,她严密监测患者生命体征、麻醉深度及脑血流灌注情况,确保手术过程中患者生命体征平稳;术后,在导管室临时复苏区域,高星医师凭借扎实的专业功底和丰富的复苏经验,精准调控复苏药物,密切观察患者意识、呼吸及神经功能恢复情况,确保患者平稳苏醒。当患者醒来后,经检查四肢活动正常,无新增神经功能缺损症状,在场医护人员均松了一口气。
术后,患者顺利转入神经内科二病区(卒中病房)进一步治疗,目前病情稳定,正在逐步康复中。此次救治的成功,离不开院领导吴小进副院长、医务处刘光普处长、朱庆老师的统筹协调与精心指导,离不开影像科术前的精准诊断,离不开神经介入团队的精准施治,更离不开麻醉科高星医师的全程保驾护航。各科室打破科室壁垒,不囿于传统诊疗教条,以患者生命安全为最高准则,高效协作、无缝衔接,不仅为患者赢得了宝贵的治疗时间,更创造了安全高效的救治范例。
此次四级微创手术的成功开展,不仅提升了我院神经介入领域的诊疗水平,更增加了相关技术的国考贡献度。同时,也充分体现了我院在应对复杂危重病例时的应急处置能力和多学科协同救治水平。未来,我院将继续秉持院领导 “以患者为中心” 的核心发展理念,不断强化各科室协作机制,提升医疗技术水平和服务质量,为广大患者的生命健康保驾护航。
