
主 编:刘建民 海军军医大学第一附属医院
执行主编:赵开军 同济大学附属东方医院
术 者:邹 超 海军军医大学第一附属医院
薛 亮 河北省定州市人民医院
指 导:赵 瑞 海军军医大学第一附属医院
作 者:薛 亮 河北省定州市人民医院
题目:
支架辅助弹簧圈栓塞右侧大脑前动脉A1起始部小型宽颈动脉瘤
Title: Stent-assisted coil embolization of a small wide-neck aneurysm in the right anterior cerebral artery A1 segment.
摘要:
大脑前动脉A1段动脉瘤发病率较低,但这个部位动脉瘤往往与载瘤动脉位置关系复杂、血管走行角度刁钻,对于介入治疗存在微导管塑形难、超选难、微导管调整难、易退出等问题,由于A1段动脉直径细,在对宽颈动脉瘤进行支架辅助栓塞时,更会增加以上难度。本病例介绍一例A1起始部小型宽颈动脉瘤,通过选择高顺应性、易塑形的微导管进行理想塑形,采用低外径支架辅助弹簧圈栓塞,术中通过“穿网孔”技术进行超选及栓塞,微导管的理想塑形使操作难度大大降低,达到了满意的治疗效果。
Abstract:Aneurysms of the A1 segment of the anterior cerebral artery (ACA) are rare but pose significant technical challenges due to their complex relationship with the parent vessel and tortuous anatomy. These challenges include difficulties in microcatheter shaping, superselection, adjustment, and a propensity for dislodgment. These complexities are further compounded by the small diameter of the A1 segment, particularly in stent-assisted coiling of wide-neck aneurysms.
We present a case of a small, wide-neck aneurysm at the origin of the right A1 segment. The procedure leveraged a high-compliance, shapeable microcatheter for optimal catheter shaping, combined with low-profile stent-assisted coiling. Intraoperatively, the “through the stent strut” technique was employed to achieve superselection and embolization. The ideal microcatheter shaping significantly simplified the procedure, resulting in a satisfactory therapeutic outcome.
病史简介
患者:患者男性,59岁。
主诉:发现颅内动脉瘤20天。
现病史:患者于20天前行脑血管造影时发现右侧大脑前动脉A1起始部动脉瘤,偶有枕部酸胀感,无头晕、恶心、呕吐等,为行手术治疗来我院,门诊以"颅内动脉瘤"收入院。
查体:神经系统查体阴性。
既往史:2年前体检发现左侧颈内动脉眼动脉段动脉瘤行单栓治疗。
初步诊断:1.右侧大脑前动脉A1起始部动脉瘤;2.左侧颈内动脉眼动脉段动脉瘤术后。
术前外院 DSA 2025-02

箭头所指右侧A1微小动脉瘤
术前药物准备
1、术前抗血小板药物三天:阿司匹林100mg Qd,氯吡格雷75mg Qd。
2、TEG结果:AA抑制率:95.6% (参考范围:50-100 % )、ADP抑制率:67.3%(参考范围:30-100 % )
治疗方案
支架辅助弹簧圈栓塞术
器械材料
1、导管:5F 单弯造影管、导丝:0.035inch 150cm导丝
2、导引导管:6F Envoy DA
3、微导丝:200cmAsahi 0.014、支架微导管:Echelon 10、栓塞微导管:璞慧0.017
4、弹簧圈:Target 1.5mm/2cm 1mm/3cm
5、支架:Neuroform Atlas 3mm/15mm
治疗过程
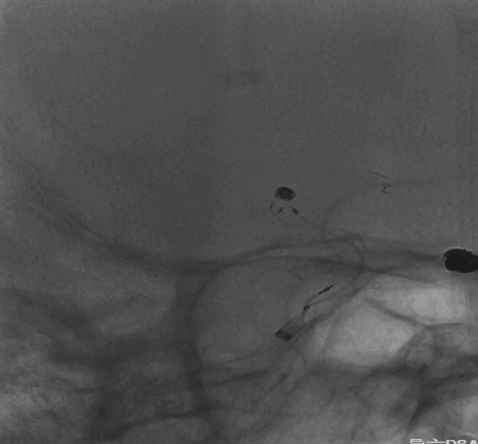
6F Envoy DA在泥鳅导丝辅助下超选至右侧颈内动脉海绵窦段后膝。

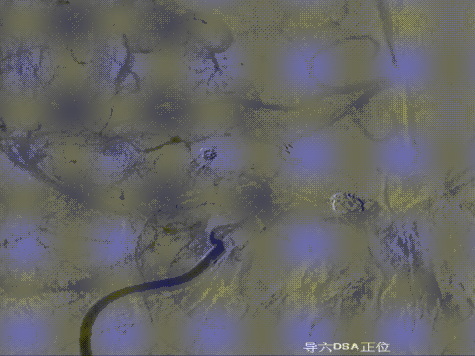
工作位正位造影(图片)

工作位侧位造影(图片)

工作位正位造影(视频)

工作位侧位造影(视频)

璞慧 0.017微导管塑形

Asahi 0.014微导丝塑形后辅助Echelon 10微导管进入A2远端备支架释放。


Asahi 0.014微导丝导引璞慧 0.017微导管进入动脉瘤内。




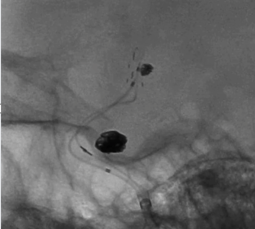
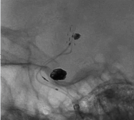
通过璞慧0.017微导管填入Target 1.5/2弹簧圈部分成篮,后释放Atlas 3.0/15支架覆盖瘤颈处,继续填入弹簧圈时微导管脱出,尝试用弹簧圈将微导管引导超选瘤腔失败。
撤出弹簧圈,Asahi 0.014微导丝引导璞慧 0.017微导管穿支架网孔进入动脉瘤内。


继续填入Target 1.5/2弹簧圈成篮,后完全释放支架,其近端位于颈内动脉分叉处,远端位于A1远端。


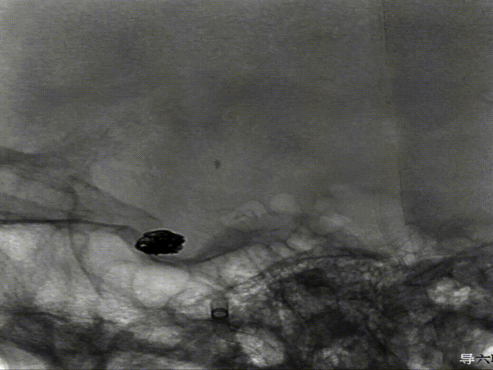
填入第一枚弹簧圈


通过调整栓塞微导管的张力继续填入Target 1/3弹簧圈。



治疗结果




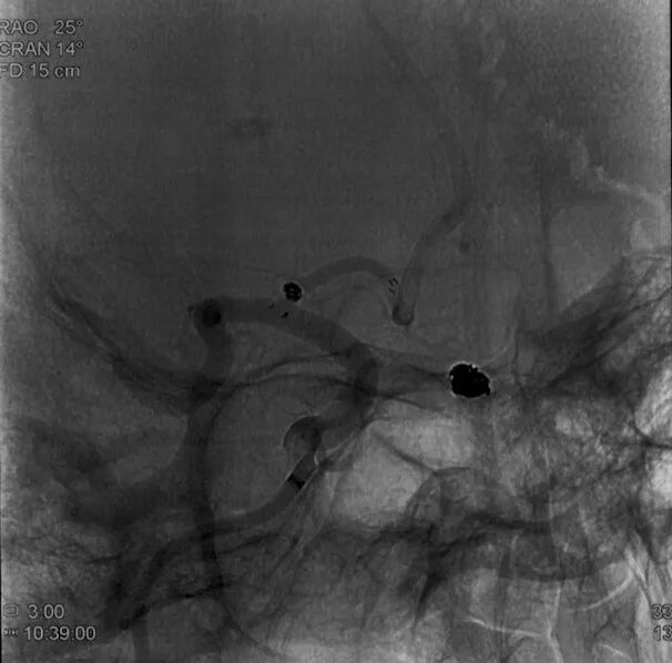
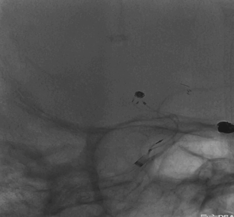
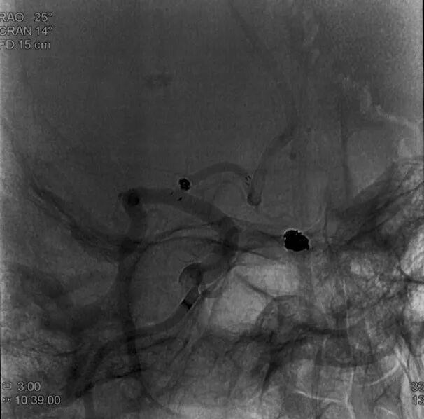
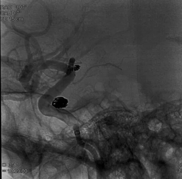
术后正侧位造影:Raymond Ⅲ级


术后支架重建:支架打开良好,近端Marker位于颈内动脉分叉处


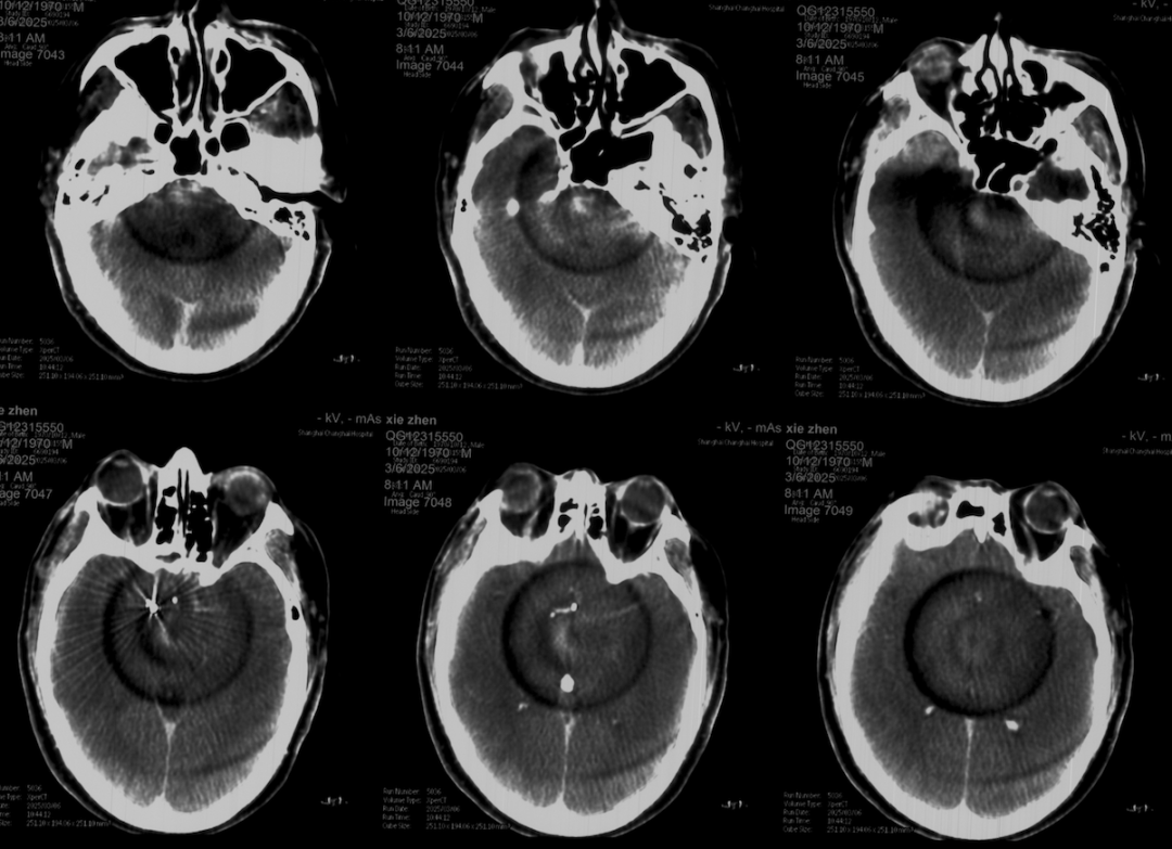
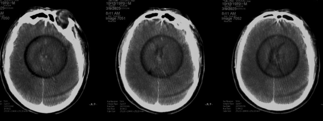
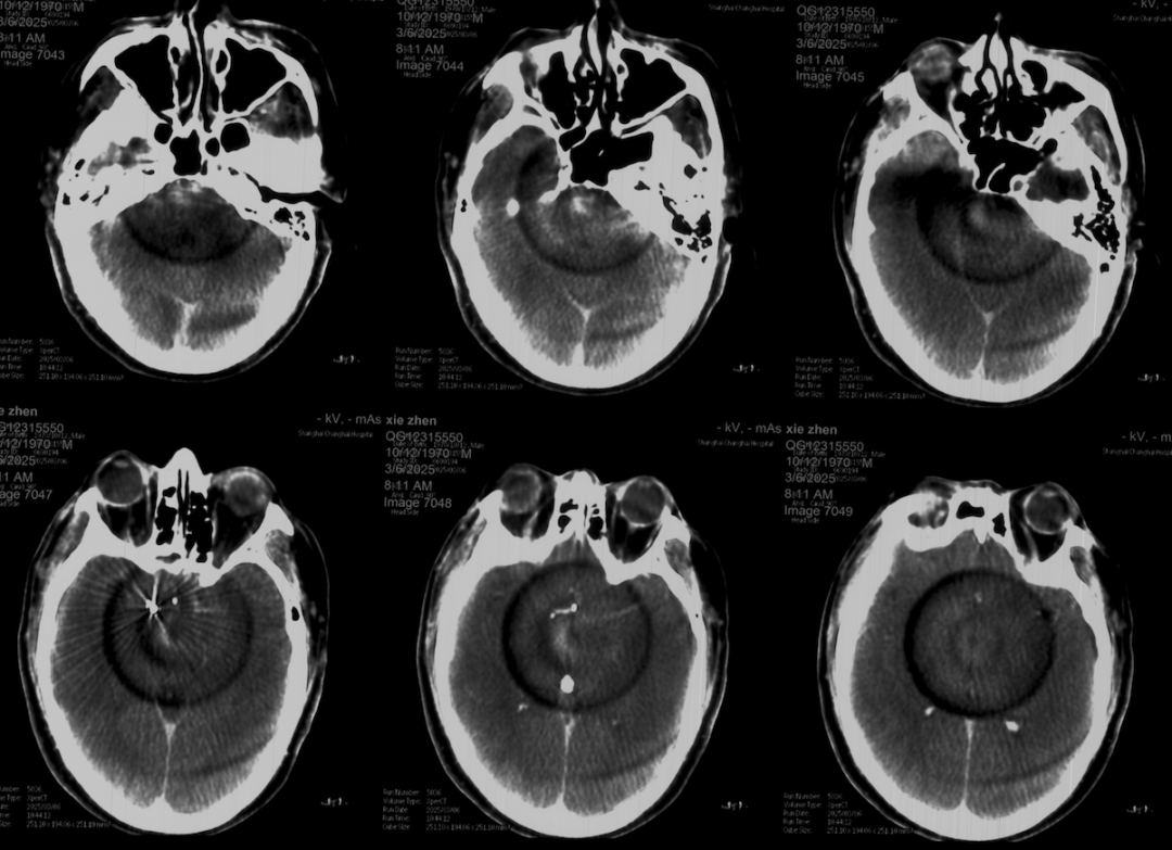
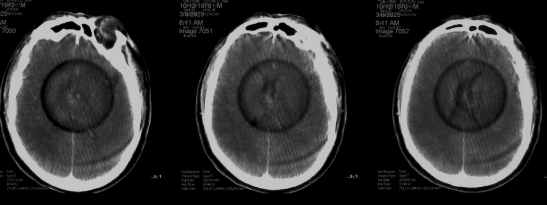
术后Vaso CT未见出血,患者神清语利,神经系统查体阴性。


术后药物指导及随访
阿司匹林 100mg qd、氯吡格雷 75mg qd;
6周后停氯吡格雷,继续阿司匹林单抗治疗;
患者出院后病情稳定,未到影像复查时间。
讨论及思考
1、大脑前A1部位动脉瘤多从A1段接近起始部发出,微导管要塑出从颈内动脉到A1瘤颈口距离很短的多个立体弯,这既需要微导管对塑形的高顺应性,又需要术者对局部血管构筑学清晰解读,设计出精准的塑形。
2、该动脉瘤为宽颈,需要支架辅助栓塞以实现满意的长期疗效,支架释放要求近端可以精准定位,由于A1段直径较小,故最好为低外径支架,以减少较大直径(2.1F)的支架微导管对弹簧圈微导管的干扰。本病例选择低外径的激光雕刻开环支架Atlas,很好的满足上述要求。
3、手术过程中微导丝辅助微导管超选的操作对术者要求很高。对于A1段动脉瘤,理想塑形的微导管往往无法自行进入瘤腔,需要微导丝进入瘤腔后,通过谨慎仔细的操作把微导管导入。过程中要注意两者配合的速度与力道,确保不会突然前窜导致动脉瘤破裂。
4、微小动脉瘤的弹簧圈选择尤为重要,遵循“宁小勿大”原则,填入弹簧圈时把控微导管的张力,避免脱出或张力过大穿破瘤壁造成灾难性后果。
5、本病例中,还要注意支架近端的头端尽量少进入颈内动脉,以减少对远端大脑中动脉的影响。
学习要点
1、A1段动脉瘤存在破裂风险
2、A1段动脉瘤的治疗是有挑战性的
3、支架辅助弹簧圈栓塞A1段动脉瘤是可行的
专家点评:刘建民教授

1、大脑前动脉A1段动脉瘤属于少见颅内动脉瘤,局部血管解剖结构的特殊性使其介入栓塞治疗存在一定挑战。
2、A1段动脉瘤的弹簧圈栓塞微导管的精准塑形具有一定难度,需要在仔细分析颈内动脉到大脑前动脉的夹角关系以及动脉瘤指向的血管构筑学。
3、随着材料器具的发展迭代,新一代低外径、表面改性的血流导向装置或瘤内扰流装置有可能使A1段动脉瘤治疗更简便。
点评专家简历

刘建民
海军军医大学附属长海医院
主任医师,教授,博士生导师
现任海军军医大学第一附属医院脑血管病中心主任、战创伤中心主任
全军脑血管病研究所所长
中国医师协会介入医师分会副会长
中华医学会神经外科分会常务委员
上海市医师协会神经介入专业委员会会长
JNI期刊(Journal of Neurointervention)主编

扫描上方二维码
进入刘建民 教授学术主页
术者简介

赵瑞
海军军医大学第一附属医院
副教授、副主任医师,博士生导师。师从刘建民教授。海军军医大学第一附属医院(上海长海医院)脑血管病中心副主任,擅长脑血管病外科及微创治疗。主持国家科技部十四五重大专项(子课题)、国家自然基金及省部级课题等共12项。参与Tubridge血流导向装置等器具转化4项,参与PROTECT-MT、PARAT、DIRECT-MT、ENCHANTED-MT等高水平临床研究6项,在LANCET、Brain等高水平杂志发表SCI论文60余篇,第一或通讯作者20余篇,获国家专利8项。执笔国家指南、共识2部,副主编学术专著1部,参编5部,获教育部科技进步一等奖、军队医疗成果一等奖、上海市科学技术一等奖等军队及省部级奖励6项。任中国卒中学会脑静脉病变分会委员、中国医师协会神经外科医师分会神经介入专委会委员兼秘书、上海市医学会神经外科分会介入学组秘书、上海市医学会脑卒中分会青年委员等。

扫描上方二维码
进入赵瑞 副教授学术主页

邹超
海军军医大学第一附属医院
医学硕士,海军军医大学第一附属医院(上海长海医院)脑血管病中心副主任医师。擅长脑血管病外科及介入治疗。多次在国内外学术大会上进行学术交流和手术演示。以长海介入团队参与人身份先后获上海市科学技术成果奖、科学技术进步一等奖和上海市科学技术奖。参加军队和地方各类课题10余项。参编脑防委介入治疗适宜技术、脑血管病介入治疗操作规范、颅内动脉瘤介入治疗学等专著;发表国内外文章十余篇。

扫描上方二维码
进入邹超 副主任医师学术主页

薛亮
河北省定州市人民医院
河北省定州市人民医院神经外二科主治医师,毕业于河北北方学院,擅长脑血管病介入、脑出血、颅脑创伤等治疗。参与省部级课题一项,发表论文多篇,任河北省保定市老年医学学会神经外科分会委员、河北省中西医结合学会神经外科分会委员。
长按并识别上方二维码
投稿/会议发布,请联系400-888-2526转3

点分享
点点赞
点在看
