【神经介入基础课】微导管塑形技巧(8)
前几回内容都是讲微导管的常规塑形,本回终结篇讲特殊塑形——回马枪。回马枪原是冷面寒枪俏罗成的绝杀技,具体操作参见《说唐全传》。
是哪位大侠首次把回马枪技术天才性地引进到微导管塑形里,已经无从查考,但我相信很多术者曾在不得已的情况下应用过这个手法一招制胜。所谓回马枪塑形,是指把常规塑成C形或S形的微导管引入载瘤动脉,使之成襻在动脉内前行,越过动脉瘤后,管头折返进入瘤腔。
如何成襻?两种方式,一是体内成襻,即利用载瘤动脉的管腔和生理弯曲,配合旋转手法,使微导管在血管内折返成襻(类似Simmon II造影管在主动脉弓内折返成问号形的操作),后面的两个实战病例都是使用该方式。二是体外成襻,即利用Y阀空间将微导管在体外成襻后送入血管内
在什么情况下会用到回马枪塑形呢?简单讲,是在不得已的情况下;详细讲,就是在动脉瘤发起角度刁钻,常规塑形的微导管无法超选入瘤腔的情况下。上病例!
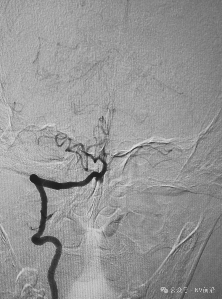
病例一,左侧微小眼动脉瘤,未破裂。
测量:瘤体2.09×2.34 mm,颈宽2.66 mm。
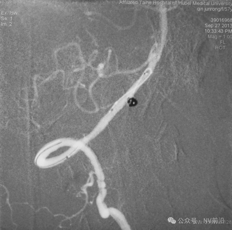
工作位造影
Traxcess 14微导丝可以进入瘤腔,但头端塑成S形的Echelon 10微导管无法跟入。
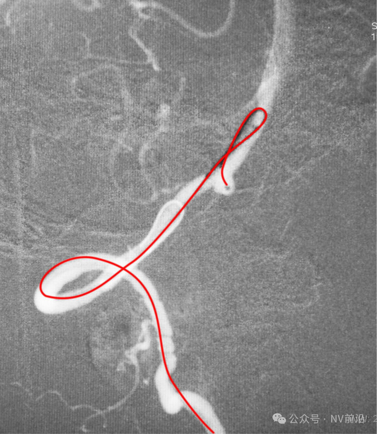
将微导管在虹吸弯处成襻,越过瘤颈,管头折返钩入瘤腔,即所谓回马枪技术。
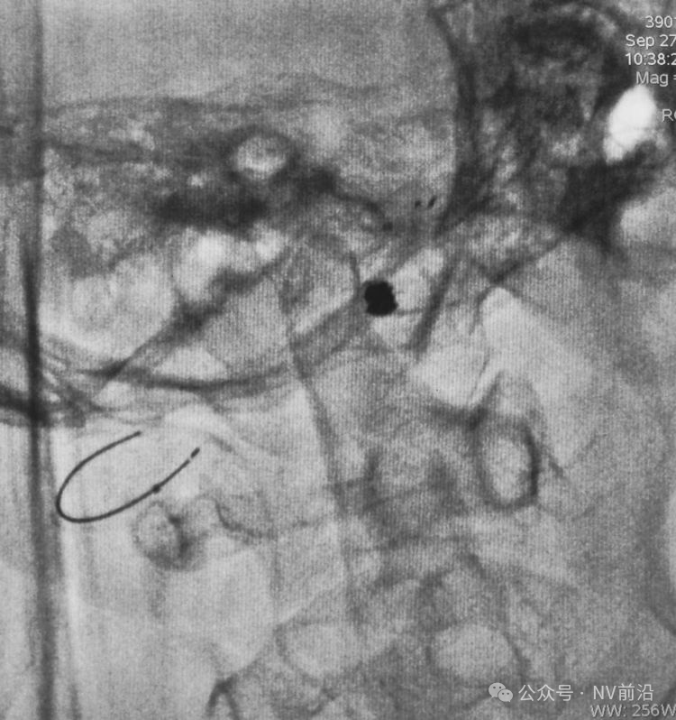
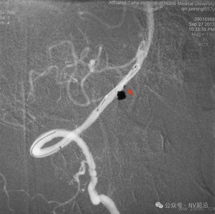
Solitaire 4×15支架(绿线)跨瘤颈半释放,压住微导管(红线)。
经微导管向瘤腔内送入首枚弹簧圈(QC-2-4-3D)。
继续送入两枚QC-1.5-2-Helix,完全栓塞动脉瘤,部分圈突入载瘤动脉。
结束栓塞后不要直接撤管,要先把微导管往远心端送,使管头脱离瘤腔,再缓慢回撤。
微导管撤出后,完全释放Solitaire支架,可见突入载瘤动脉的弹簧圈被压回瘤腔。
术后左颈内动脉工作位造影和蒙片。
术后左颈内动脉造影三维重建显示动脉瘤消失。
病例二,右侧椎动脉V4段夹层动脉瘤,以头痛入院,21个月前有SAH史。
右椎动脉造影三维重建
Echelon 10微导管头无论塑成C形还是S形,均无法稳定于动脉瘤腔内,遂使用回马枪技术,使微导管成襻通过,管头折返入瘤腔。
跨瘤颈释放Solitaire 4×20支架(蓝线),压住微导管(红线),在支架保护下经返折的微导管送入弹簧圈填塞瘤腔。
依次送入QC-2-4-3D,2-3-Helix,1.5-2-Helix,1.5-2-Helix四枚弹簧圈,最后一枚弹簧圈将管头(箭头)顶出瘤腔。
将Traxcess 14微导丝送入微导管,稍向远心端送微导管,使管头远离动脉瘤,再缓慢撤离。
解脱第一枚Solitaire 4×20支架后,套叠置入第二枚Solitaire 4×20支架,置入两枚支架的原因是考虑该瘤是夹层动脉瘤,多支架能够强化血流导向作用,有利于夹层愈合。
术后右椎动脉工作位造影,
以及正位造影显示动脉瘤完全栓塞,载瘤动脉畅通。
回马枪操练完毕,训话强调三点,第一,回马枪式到位的管头在输送弹簧圈时难以稳定,因而需要支架固定;第二,压在支架下的成襻微导管在完成栓塞后回撤时,对支架骚扰大,有造成支架移位之虞,Solitaire支架作为电解脱支架,释放后只要不解脱就不会移位,这也是上述两个病例均选用Solitaire支架而不是其它类型支架的原因;第三,回马枪是置于死地而后生的绝杀技,成襻的微导管难以操纵,属不得已而为之。
颅内动脉瘤千变万化,所需微导管塑形也千姿百态,唯久经沙场,方能人剑合一。此八回书乃个人心得体会,难免管中窥豹,以偏概全,若能抛砖引玉,启发争鸣,则善莫大焉,幸甚至哉!滚滚长江东逝水,浪花淘尽英雄,新技术日新月异,新理论层出不穷。天下没有不散的酒桌,列位看官,就此别过,正可谓:铁打营盘流水兵,岁月荏苒白发生,他年江湖若相见,莫谈血雨和腥风。
讲者
吕明教授
● 主任医师,教授,博士研究生导师
● 专门从事神经系统血管病的介入治疗,主攻颅内动脉瘤、蛛网膜下腔出血、脑血管畸形、颈动脉海绵窦瘘、硬脑膜动静脉瘘、脊髓血管畸形、脑动脉狭窄、缺血性脑卒中等各类脑脊髓血管病。承担天坛医院部分协作单位的会诊工作,带动和促进了国内多家省市医院神经介入技术的开展。目前科研方向致力于颅内动脉瘤介入治疗的规范化和个体化,受北京市科技新星计划、北京市优秀人才项目和北京市卫生系统高层次卫生技术人才培养计划资助。社会任职:中国研究型医院学会脑血管病专业委员会委员、中国医师协会出血性脑血管病神经介入专业委员会秘书、中国医师协会神经介入专业委员会青年委员会第一届委员会委员
声明:所刊载内容不代表本平台观点或立场。文中所涉及药物使用、疾病诊疗等内容仅供参考,不能代替线下医生诊断与治疗。如有侵权,请联系删除!
